Что делать, когда кости не осталось совсем? Жизнеспособна ли идея менять имплантаты каждые 10-15 лет? Из-за чего уходят кость и десна и оголяются имплантаты? Почему важно сохранять свои зубы до последнего? All-on-4 («все-на-4») или реконструкция (в конце статьи )?
- Содержание
- Итак, начнём с жалоб пациента
- Диагностика и клиническая картина
- Реконструкция
- Удаление имплантов
- Наращивание костной ткани
- Имплантация
- Протезирование
- Лечащие врачи
- Максутов Алиби Айнадинович
- Шор Евгений Игоревич
- А давайте All-on-4?
- А что? Раз в 10-15 лет имплантаты можно и поменять
- Минута рассуждений на тему «откуда что берётся»
- Не провели костную пластику
- Забыли о мягких тканях
- Зубы «мудрости»
- Не спланировали лечение заранее
Содержание
-
Причина обращения и жалобы пациенты
-
Диагностика и клиническая картина глазами доктора
-
Как проходило лечение
-
Почему не all-on-4, ведь так быстрее и проще?
-
Минута рефлексии: как из маленьких проблем сделать много больших
Итак, начнём с жалоб пациента
Наш пациент — Марина, красивая взрослая женщина в возрасте 62 лет. Обратилась с жалобами на:
-
выделение гноя при надавливании на зубы нижней челюсти в жевательной области, преимущественно слева.
-
неприятный запах изо рта.
-
неприглядный внешний вид зубов и десны в зоне улыбки.
12 лет назад наша героиня уже имела удовольствие познакомиться с «комплексным» протезированием и имплантацией в одной известной сетевой клинике.
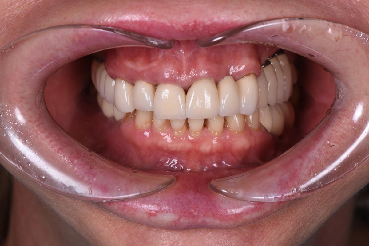
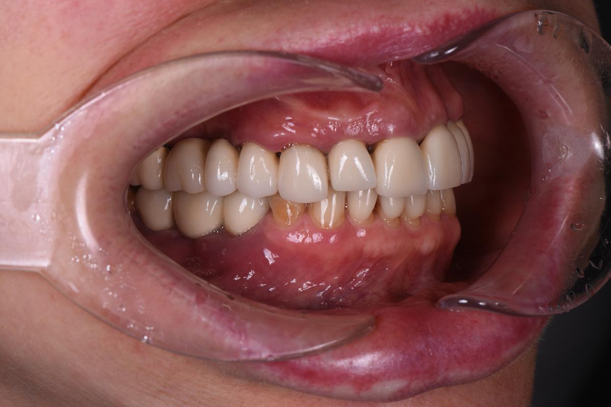
Как выглядит результат спустя несколько лет — на пяти фотографиях ниже



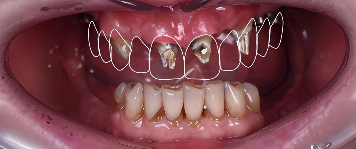
Верхний зубной ряд:
-
Справа. Протяженный мост на 5 единиц с опорой на 3 свои зуба
-
Передние зубы. Две одиночные коронки + мост на 3 единицы
-
Слева. 4 коронки с опорой на 4 импланта + зуб мудрости
Нижний зубной ряд:
-
Справа. Мост на 3 единицы с опорой на 2 импланта + дистопированный зуб мудрости
-
Передние зубы. 8 собственных +/- живых зубов
-
Слева. 1 свой зуб под коронкой, 2 коронки с опорой на 2 импланта + дистопированный зуб мудрости
Диагностика и клиническая картина
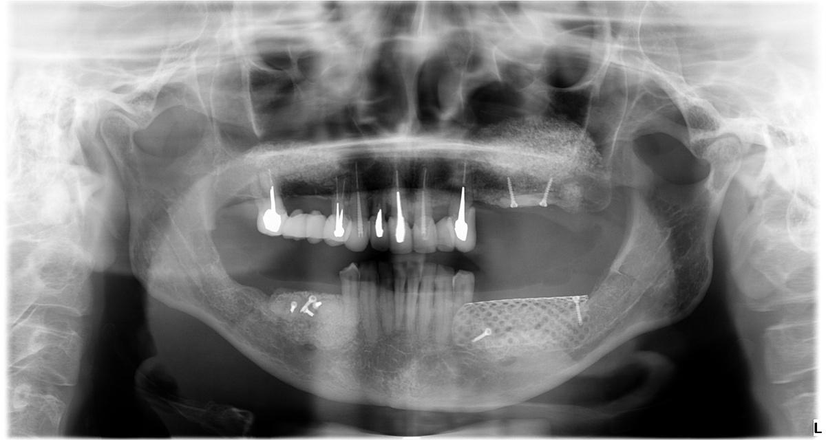
На рентгеновском снимке ситуация в полости рта выглядит следующим образом:

Проблемы:
1 — атрофия костной ткани в области ранее удаленных 5 и 6 зубов на верхней челюсти справа.
2 — атрофия костной ткани до первого витка имплантов в области 4, 5 и 6 зубов на верхней челюсти слева
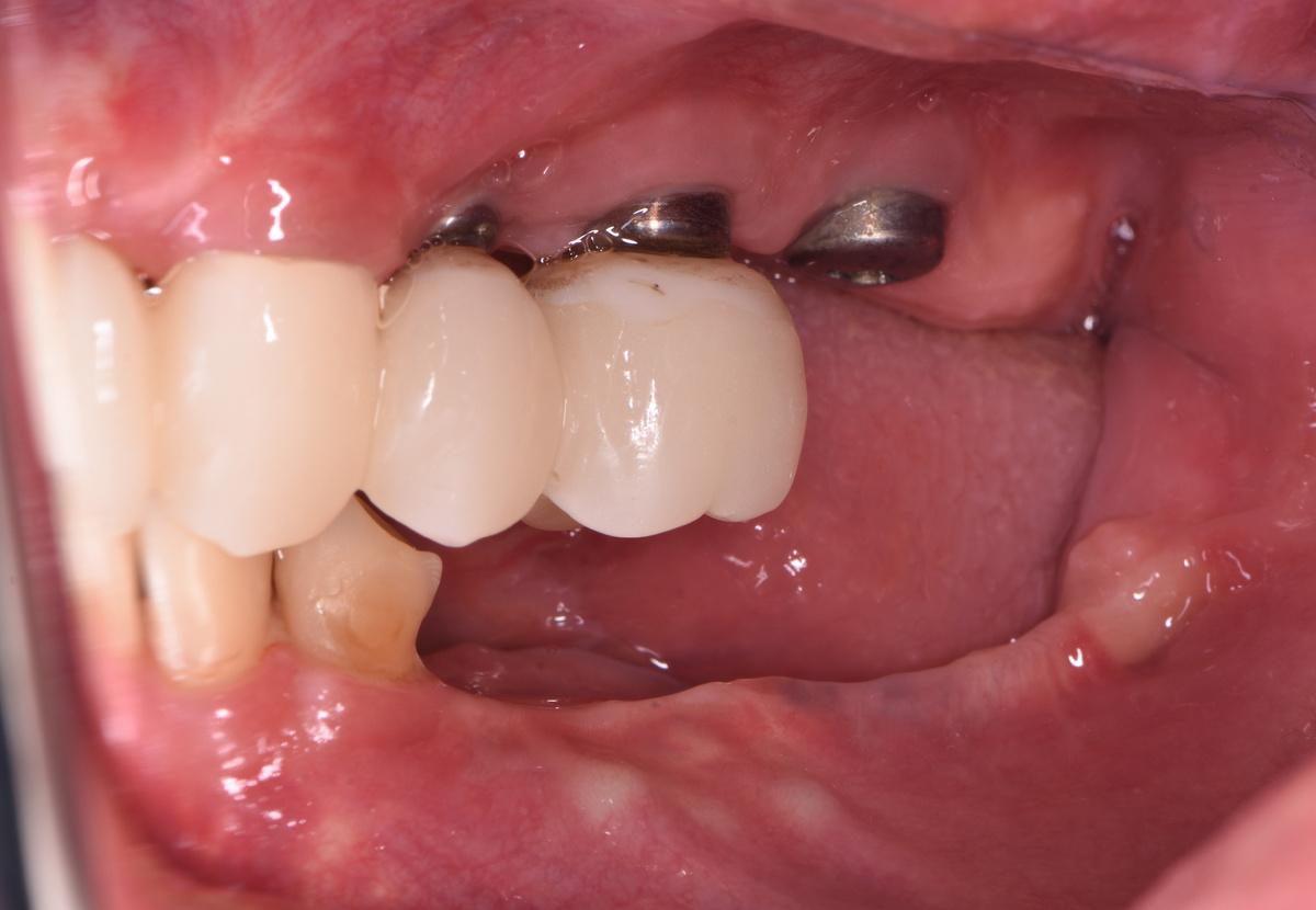
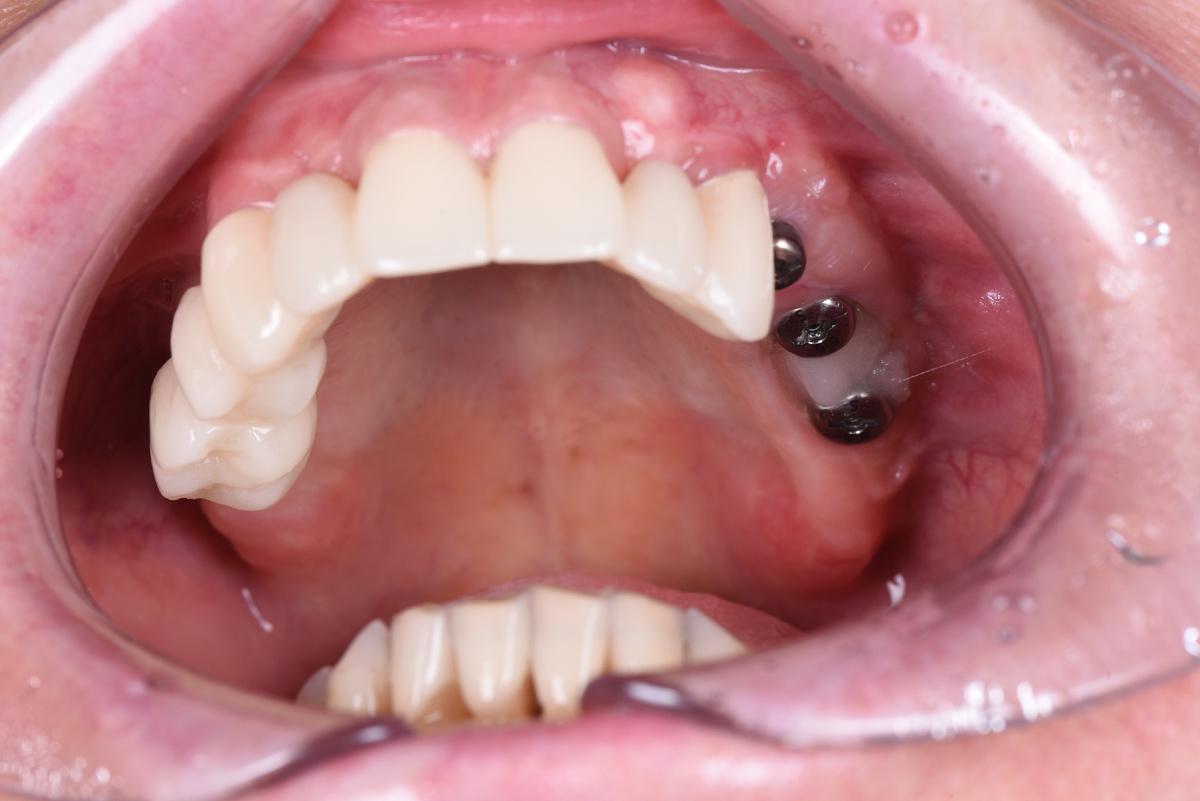
3 — внушительный «карман» между зубом мудрости и коронкой на импланте, проведение гигиены которого в домашних условиях было невозможно
4 — выраженная атрофия костной ткани, убыль десны, оголение имплантатов, воспаление, гноетечение
5 — экстремальная атрофия костной ткани в области импланта 5-ого зуба, воспаление мягких тканей, гноетечение
6 — симметричный «карман» слева, между зубом мудрости и коронкой на импланте
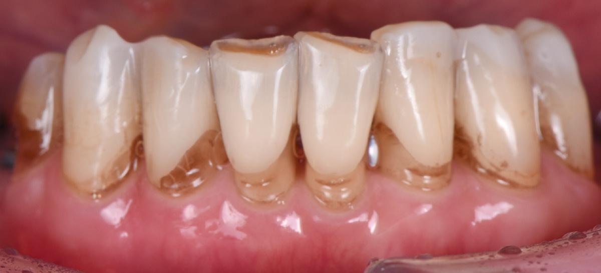
7 — клиновидные дефекты (абфракции) и закономерная рецессия (опущение) десны
Позитив:
Сохранившиеся зубы во фронтальном отделе, и снизу, и сверху, подарили нашей героине последний шанс восстановить зубы без искусственной розовой десны
Реконструкция
Как наша героиня, спустя 12 лет, оказалась в настолько затруднительной ситуации, мы разберемся в конце статьи, а сейчас приступаем к краткому описанию проведенной реабилитации, которая длилась без малого 1,5 года
Удаление имплантов
Прежде всего, необходимо устранить очаги инфекции на нижней челюсти с обеих сторон и на верхней челюсти слева в области установки имплантов. Удаление проводим с применением PRF-мембран, ускоряющих заживление.
Операция длилась 2,5 часа, проводилась в седации
Результат спустя 1 месяц — на трёх фото ниже


Обратите внимание на то, что осталось от нижней челюсти слева. Сказать, что кости не осталось совсем — ничего не сказать

Наращивание костной ткани
Следующий шаг — реконструкция костной ткани верхней и нижней челюсти. На снимке ОПТГ обозначены области проведенной остеопластики

Верхняя челюсть
Классический «открытый» синус-лифтинг в области 5 и 6 зубов справа (№1 на снимке ОПТГ). Подготовка для будущей имплантации в этом сегменте.
Слева — комбинированный протокол— «открытый» синус-лифтинг и каркасная пластика титановой сеткой (№2 на снимке ОПТГ) для восстановления альвеолярного гребня по высоте.
-
Синус-лифтинг слева и справа провели за 1 визит
-
Операция длилась 4 часа, проводилась в седации
-
Синус-лифтинг выполнен с применением пьезохирургического аппарата
-
Костный материал — собственная аутокость в сочетании с натуральным костнозамещающим материалом «Bio-Oss»
Результат на снимке ОПТГ:

Результат вживую:

Нижняя челюсть
Справа проводим пластику кости по высоте и ширине специальной «каркасной» техникой остеопластики титановой сеткой (№3 на снимке ОПТГ), которую применяем при экстремальной атрофии костной ткани челюсти


Нижняя челюсть
Слева на нижней челюсти наращиваем костный объем с помощью костных блоков (№4 на снимке ОПТГ)



-
Остеопластика слева и справа была проведена за 1 визит
-
Операция длилась 6 часов, проводилась в седации
-
Костный материал — костные блоки, аутогенная костная стружка в сочетании с натуральным костнозамещающим материалом Bio-Oss
Остеопластика на нижней челюсти на снимке ОПТГ

Результат вживую:


Имплантация
Через 6,5 месяцев после двустороннего синус-лифтинга проводим имплантацию на верхней челюсти. За 1 операционный день устанавливаем 6 имплантатов «Dentium» — 3 слева и 3 справа
Операция длилась 4 часа, проводилась в седации
Ещё через 2 месяца — установка формирователей и мягкотканная пластика для формирования массива кератинизированной десны в области имплантации
Операция по установке формирователей и пластика длилась 2 часа, проводилась в седации

Следующий этап — имплантация на нижней челюсти справа. Через 6 месяцев после остеопластики с использованием костных блоков
Операция длилась 2 часа, проводилась в седации
Также через 2 месяца устанавливаем формирователи десны и проводим пластику мягких тканей с использованием соединительнотканного трансплантата
Операция по установке формирователей и пластика длилась 2 часа, проводилась в седации

И, наконец, последний хирургический этап — установка 2 имплантатов в 3-ем сегменте слева. В данной области, где дефицит кости был самым катастрофическим, остеоинтеграция заняла 12 месяцев ️ Результат через месяц после установки формирователей и процедуры обязательного восстановления мягких тканей:

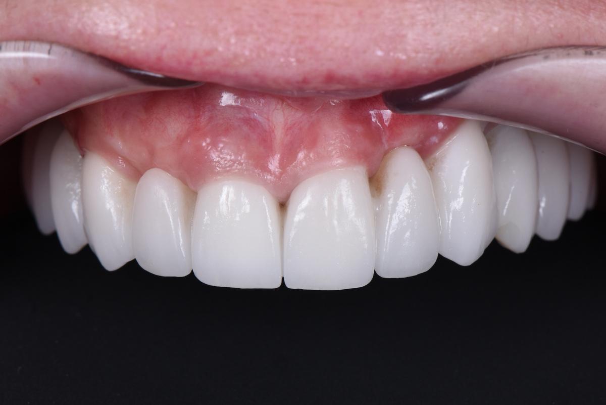
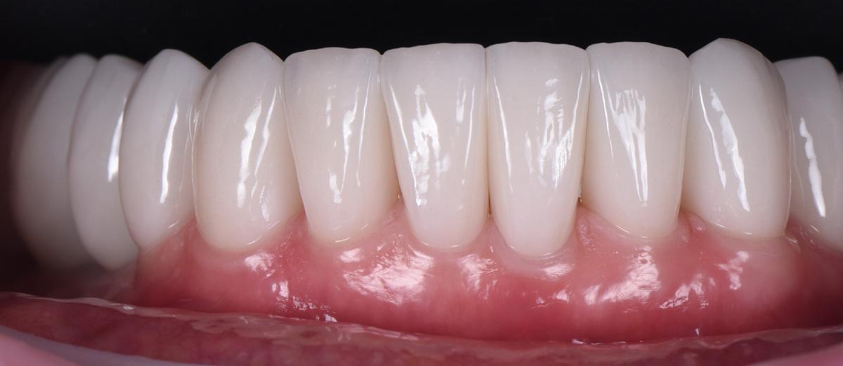
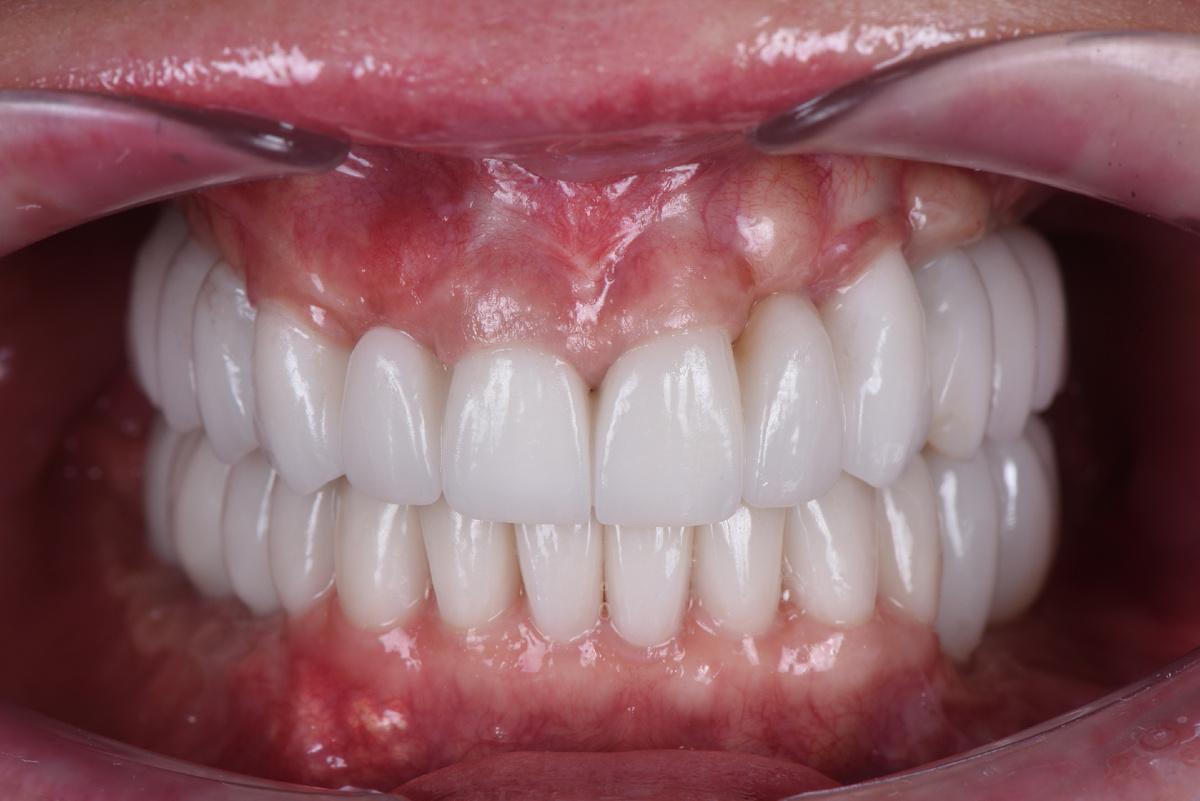
Протезирование
Оставим за скобками мероприятия по изготовлению временных конструкций, служивших не более, чем небольшим утешением нашей героине. Основная работа началась после имплантация зубов верхней челюсти, по традиции, с моделирования будущей улыбки на экране монитора (DSD)



Первая примерка :



Верхняя челюсть: 2 мостовидных протеза в жевательных отделах с опорой на 3 имплантата и мост на 6 единиц с опорой на 4 собственных зуба
Следующий шаг — коронки на нижние зубы:



Завершающий этап — после протезирования на имплантатах на нижней челюсти слева, в той области, где костная ткань восстанавливалась дольше всего


Лечащие врачи
Максутов Алиби Айнадинович
Стоматолог-ортопед. Планирование реконструктивной реабилитации, DSD, Wax Up и Mock Up, фиксация временных и постоянных коронок из диоксида циркония
Шор Евгений Игоревич
Стоматолог-хирург, имплантолог. Удаление несостоятельных зубов, двусторонний синус-лифтинг на верхней челюсти, каркасная костная пластика титановой сеткой на нижней челюсти слева и остеопластика с применением костных блоков справа, планирование навигационной имплантации, установка 11 имплантатов, пластика мягких тканей
А давайте All-on-4?
Это самый популярный вопрос пациентов, атакованных рекламой.
Не утомляя читателя глубиной теоретических выкладок, расскажем почему наша героиня предпочла длинный и сложный путь реконструкции.
Прежде всего, не было желания удалять последние собственные живые зубы. Как минимум 4 на верхней челюсти и 8 на нижней.
Может показаться, что зубами можно было бы пожертвовать. И получить взамен новые зубы, новую улыбку «здесь и сейчас». Буквально через неделю.
Кстати именно так рассуждают абсолютное большинство мужчин старше 60 лет
Мы не спорим, но приводим аргумент
Для исполнения All-on-4 после удаления зубов, альвеолярный гребень челюсти необходимо редуцировать. Т.е. спилить. Для формирования ровной «площадки». Примерно вот так:
И теперь главный вопрос — ради чего мы не создаём новое, а, наоборот, уничтожаем всё «старое»?
️ Ради укороченного протеза длиной в 10 единиц?
All-on-4 — адекватный способ улучшить качество жизни только для владельцев акриловых протезов с массивным «небом» для фиксации.
Для примера — вкусовые ощущения от пищи после All-on-4 улучшатся только у тех, кто носил съемный протез. У всех остальных людей — точно ухудшатся
А что? Раз в 10-15 лет имплантаты можно и поменять
Что выбрать: установку имплантата за 100.000 руб на всю жизнь или за 30.000 руб на 10-15 лет (если повезёт, конечно)? Чисто теоретически, экономия действительно выглядит рациональной и логичной.
История нашей героини призвана наглядно продемонстрировать последствия протезирования и имплантации в исполнении «недорого, быстро и качественно».
Результат — Марина потратила на реабилитацию почти 1,5 года жизни и несколько миллионов рублей.
Вероятность того, что через 10-15 лет, устанавливать имплантаты может быть буквально не во что, стремится к 100%
Минута рассуждений на тему «откуда что берётся»
Самый дотошный читатель, наверняка, задаётся вопросом что конкретно привело к такой масштабной реабилитации спустя 12 лет. Выделим несколько очевидных причин.
Не провели костную пластику
Остеопластика — это дорого. Экономный пациент всегда найдёт клинику, в которой возьмутся провести имплантацию без костной пластики. Короткие импланты установили в то, что есть и отпустили с миром
В сегментах 2 (на снимке ОПТГ — сверху справа) и 3 (на снимке ОПТГ — снизу справа)
Забыли о мягких тканях
Пластика десны — это не приятно и тоже стоит денег. Зачем объяснять пациенту необходимость, описывать последствия и краснеть от подозрений в корысти? А в реабилитационном периоде, если вдруг заболит, ещё и жалеть, поддерживать, успокаивать и выслушивать гадости в свой адрес
Мягкотканная пластика не была проведена 12 лет назад ни в одной из областей имплантации
В данном случае, именно напряжение дёсен послужил главной причиной резорбции костной ткани. Как именно неподвижная кератинизированная десна защищает имплантаты, опишем в следующих сериях.
Зубы «мудрости»
Сложно объяснить мотив сохранить труднодоступные для гигиены «восьмёрки» в области установки имплантов. Как минимум в сегменте 3 (на снимке ОПТГ — справа внизу) «восьмой» зуб вполне мог служить катализатором воспаления и убыли мягких тканей
Не спланировали лечение заранее
Опция «планирование лечения» в потоковых клиниках — непозволительная роскошь. На пациента 15 минут. За разговоры с коллегой деньги не платят. Ортопед, скорее всего, впервые увидел пациента тогда, когда импланты уже были установлены. И молча налепил на короткие импланты огромные коронки-бананы, чтобы чуть компенсировать высоту.
Технику протезирования комментировать не возьмёмся. Чего только стоит квадратная коронка на зубе 2.4. Одна надежда только на то, что за минувшие 12 лет, доктор хотя бы прогрессировал, набивая руку на «живых мишенях».
Не поддавайтесь искушению. Медицина и строительство — это одни из тех областей, в которых экономия часто приводит к глобальным проблемам в будущем













